





| 【初期診断】 | |
|---|---|
| CT撮影 | 無料 |
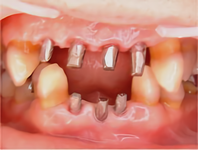
| 【インプラント料金】歯1本あたり全部込みの費用(※インプラントの上にかぶせる歯も全部込みの費用) | |
|---|---|
| インプラント(金属のかぶせ物なら) | 190,000円(税込209,000円) |
| インプラント(プラスチックと陶器の混ざった白いかぶせ物なら) | 220,000円(税込242,000円) |
| インプラント(陶器の白いかぶせ物なら) | 250,000円(税込275,000円) |


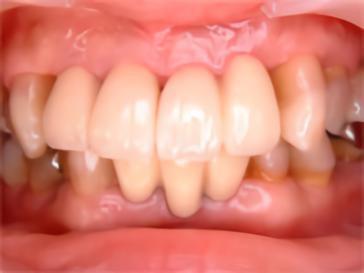
| うすい歯科医院 | 一般的な価格(※) | |
|---|---|---|
| 上顎(メタル) :19万円×3本=57万円 上顎(ハイブリッド):22万円×1本=22万円 下顎(メタル) :19万円×4本=76万円 | 上顎:32.5万円×4本=130万円 下顎:32.5万円×4本=130万円 | |
| 合計 | インプラント8本=155万円 | インプラント8本=260万円 |
| 差額 | ▲105万円(税込みの差額だと115.5万円の差額) | |

